Home / 2025 / June

Granules India Limited (BSE: 532482, NSE: GRANULES), a vertically integrated pharmaceutical company committed to sustainable and responsible healthcare, has been awarded a Gold rating by EcoVadis in its inaugural corporate-level assessment. This places the company in the 97th percentile, among the top 5% of all

READ MORE

Manipal Hospital Vijayawada has announced the appointment of Dr. Hari Prasad N as Consultant Urology and Renal Transplant Surgeon. With a solid foundation in surgical excellence and academic achievement, Dr. Hari Prasad brings extensive expertise to his new role, offering advanced urological care to patients

READ MORE

TSCS is the only NGO in India to offer this facility for the prevention of both Thalassemia and Sickle Cell AnemiaKamala Hospital and Research Centre, a unit of the Thalassemia & Sickle Cell Society (TSCS), Hyderabad, has taken a significant step toward the prevention of

READ MORE

The Manipal Hospital Vijayawada–South Asian Liver Institute Partnership is setting new benchmarks in comprehensive transplant and advanced liver care services. Manipal Hospital Vijayawada, in collaboration with the South Asian Liver Institute, organized a press conference on 22nd April 2025, to spotlight their services in liver

READ MORE

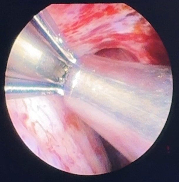
The boy accidentally swallowed a sharp metallic object (a handbag zipper stopper) without his parents’ knowledge, leaving them completely unaware of the incident until symptoms such as cough, cold, irritability and crying on feeding appeared.A 10-month-old baby boy was successfully treated at Bai Jerbai Wadia

READ MORE

VRP-034 is a novel supramolecular cationic (SMC) formulation of polymyxin B sulphate, uniquely developed to mitigate the nephrotoxic effects associated with conventional polymyxin B (PMB) therapy Key preclinical findings for VRP-034 included up to 70% reduction in nephrotoxicity compared to marketed PMB The QIDP

READ MORE

MediBuddy, India’s largest digital healthcare company, has released new research data revealing a significant drop in Anaemia among urban working women—driven by better preventive care, timely screenings, and improved nutrition awareness.The study, which analysed health records from 4,397 urban corporate employees, found that 32.67% of

READ MORE

In a groundbreaking achievement, the Asian Institute of Nephrology and Urology (AINU), Visakhapatnam, has successfully performed Andhra Pradesh’s first UroLift® procedure, offering new hope to elderly patients with complex medical conditions.The patient, a 72-year-old gentleman with a history of heart issues, chronic obstructive pulmonary disease

READ MORE

In a landmark of surgical oncology achievement, the multidisciplinary oncology team at HCG Panda Cancer Hospital, Cuttack, successfully removed a massive 19-kilogram ovarian tumor from a 54-year-old woman with significant cardiac comorbidities, saving her life and significantly improving her quality of health.The patient had been

READ MORE

Suraksha Diagnostics, a leading diagnostics service provider in Eastern India has announced its collaboration with United Imaging, a global leader in advanced imaging technologies, with an aim to establish more than 20 new imaging centres across Eastern India. The collaboration involves a total investment of

READ MORE